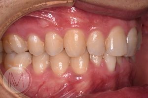
Ortodoncia + microimplante para corregir sonrisa inclinada 7

Uso de cookies

Descarga la guía de cookies Este sitio web utiliza cookies para que usted tenga la mejor experiencia de usuario. Si continúa navegando está dando su consentimiento para la aceptación de las mencionadas cookies y la aceptación de nuestra política de cookies, pinche el enlace para mayor información. plugin cookies

ACEPTAR
Aviso de cookies
Abrir chat
¿Necesitas ayuda?
Hola 👋🏻
¿En qué podemos ayudarte?